How Glushu Helped a Horse Transition Back to Traditional Shoeing with Expert Farrier Ronald Aalders
- kirsty710
- 2 days ago
- 1 min read
Transitioning a horse back to traditional shoeing can be a delicate process, especially when the horse needs to regain healthy sole depth and hoof strength. Expert farrier Ronald Aalders recently shared his experience using Glushu to support this transition. His approach not only helped increase sole depth in just one shoeing cycle but also prepared the horse for a smooth return to steel shoes.
If you would like to try Glushu for your horse, please order from our online store or at your local farrier supply.
If you have any questions about Glushu please contact us sue@glushu.com.
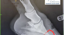
From Ronald Aalders
“ Here you can see my latest work where I was increasing sole depth using GluShu as a full rocker motion shoe.
After having gained enough sole depth (in only one shoeing cycle), this big boy could be and was shod with a steel shoe because the farrier at home will take over. #sigronpodiatry”
Glushu works by creating a supportive environment for the hoof to grow stronger. Its design allows for natural motion, which stimulates blood flow and encourages healthy tissue development. This is crucial for horses that have been without shoes or have had hoof issues that require extra care.
Using Glushu as a full rocker shoe means the horse’s hoof rolls naturally during movement, reducing stress on the sole and promoting even wear. This helps build sole depth while protecting sensitive areas from pressure and impact. For horses transitioning back to steel shoes, this method provides a gradual and comfortable adjustment period.




















































Comments